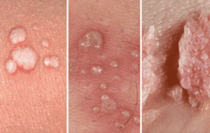
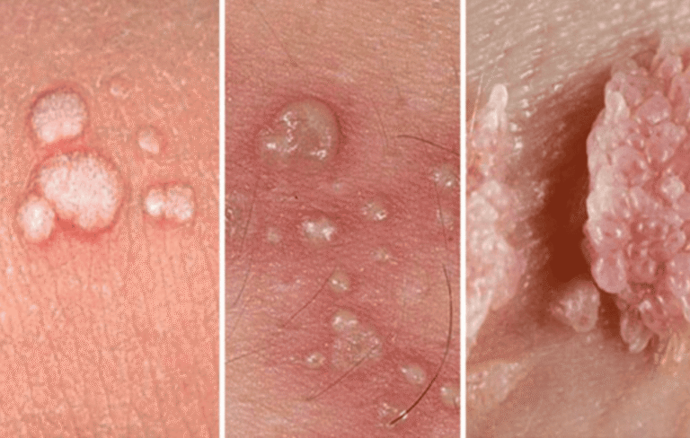
Condiloma por HPV
Tratamento realizado por especialista com segurança e sem constrangimento.
Dra. Raquel Albrecht oferece um atendimento acolhedor e técnico, sempre com foco na prevenção, diagnóstico e tratamento eficaz.
Tratamento realizado por especialista com segurança e sem constrangimento.
Dra. Raquel Albrecht oferece um atendimento acolhedor e técnico, sempre com foco na prevenção, diagnóstico e tratamento eficaz.
O HPV (Papilomavírus Humano) é um vírus sexualmente transmissível que pode causar pequenas verrugas na pele e mucosas da região anal e genital.
O condiloma é a manifestação visível da infecção, podendo variar em tamanho, quantidade e aparência.
Em alguns casos, o HPV pode permanecer silencioso, exigindo exames específicos para detecção precoce.
Presença de pequenas verrugas ou elevações na pele da região anal ou genital;
Coceira, ardor ou desconforto local;
Sangramento leve após evacuação;
Sensação de corpo estranho no canal anal;
Em alguns casos, pode não haver sintomas visíveis.
É importante ressaltar que o condiloma não está diretamente relacionado à falta de higiene, e pode acometer qualquer pessoa sexualmente ativa.
O diagnóstico é realizado por meio de exame clínico detalhado e, quando necessário, anuscopia ou retossigmoidoscopia para identificar lesões internas.
A Dra. Raquel realiza o atendimento com total sigilo e cuidado, esclarecendo todas as dúvidas e oferecendo suporte emocional durante o processo.
O tratamento depende da extensão e da localização das lesões.
Entre as opções estão:
Cauterização química ou elétrica: destruição controlada das verrugas, realizada em consultório;
Cirurgia de retirada das lesões: indicada para casos extensos ou reincidentes;
Tratamento medicamentoso tópico: em casos leves ou iniciais;
Acompanhamento periódico: essencial para prevenir recidivas e avaliar novas lesões.
O objetivo é eliminar as lesões visíveis e controlar o vírus, evitando que ele se manifeste novamente
Após o tratamento, é importante manter o acompanhamento regular para prevenir recidivas e tratar eventuais novas lesões.
A Dra. Raquel orienta sobre cuidados com higiene, imunidade e prevenção, além de esclarecer dúvidas sobre contágio e relações sexuais seguras.
A infecção pelo HPV pode ser controlada — e, em muitos casos, o próprio organismo elimina o vírus naturalmente com o tempo.
Utilizar preservativos em todas as relações sexuais;
Evitar múltiplos parceiros sexuais;
Realizar exames preventivos regularmente;
Vacinar-se contra o HPV (indicada para homens e mulheres).
O acompanhamento médico é fundamental para identificar e tratar precocemente qualquer manifestação do vírus.
Sou formada pela Faculdade Souza Marques (2010), com residência em Cirurgia Geral pelo Hospital Federal de Bonsucesso (2011-2012) e especialização em Coloproctologia pelo Hospital Naval Marcílio Dias (2013-2014). Durante essa trajetória, tive o privilégio de realizar um fellowship no Hospital Sírio-Libanês, ao lado do renomado Dr. Raul Cutait, onde nasceu minha afinidade pela colonoscopia.
Desde então, tenho me dedicado intensamente à prevenção e ao tratamento das doenças do trato gastrointestinal. Em 2023, concluí uma pós-graduação em Endoscopia Digestiva no Hospital Clementino Fraga Filho (UFRJ), consolidando ainda mais minha atuação na área.
Foram quase 10 anos atuando na linha de frente da cirurgia geral no Hospital de Saracuruna. Hoje, divido meu tempo entre duas equipes cirúrgicas, o consultório e os exames de endoscopia e colonoscopia, sempre com um único propósito: oferecer um atendimento acolhedor, técnico e sem tabus.
Edifício Leblon Medical Center - Rua Carlos Góis, 375 - sala 104 - Leblon, Rio de Janeiro - RJ, 22040-001
@draraquelalbrecht
(21) 9758-83252
Aqui, cada paciente é acolhido com respeito, empatia e um olhar atento às suas queixas — mesmo aquelas que normalmente causam constrangimento. Trabalho sempre com o objetivo de tornar o cuidado com a saúde intestinal mais leve, acessível e eficaz.
©2025 Dra Raquel Albrecht. Todos os direitos reservados.
Desenvolvido por Alain Bouquerel